
ORTHODONTICS
伊藤矯正歯科医院の治療後の安定について
まずこちらを
お読みください
伊藤矯正歯科医院は2025年に、永久歯の抜歯を伴う矯正を終えた症例の術後の安定度について調査いたしました。その結果従来の矯正治療より安定した術後の経過をすることが判明しました。そしてここに示されている情報は、その永久歯の抜歯を伴う矯正を行った症例の調査結果から得られたものです。当院はお子様の症例を中心にできるだけ永久歯の抜歯をしない矯正治療を行っていますが、そちらのデータはまだ確かめられていません。当院では限度を超えた場合のみ永久歯の抜歯を伴う治療を行っています。
2025年夏、伊藤矯正歯科医院は抜歯を伴う矯正治療を行った症例の術後の安定度について統計的調査を行いました。その結果この症例のように、後戻りが最も現れやすいと言われる下の歯並びの前歯の部分で、他の矯正法に比べて大変に安定しているという結果が出ました。
SLAを用いた当院の症例
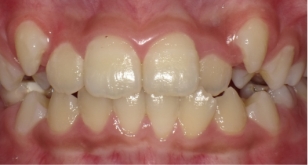
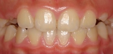
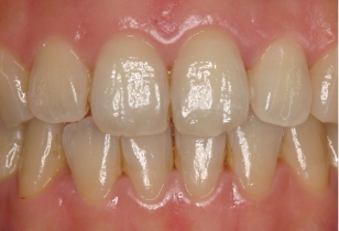
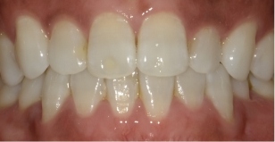
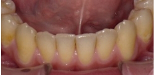
安定調査症例2






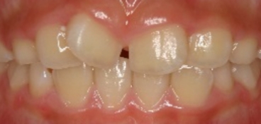
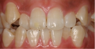
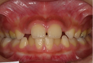
後戻り症例のイメージ



まず皆様に知って頂きたいことは、矯正歯科治療後の歯並びはイメージ写真にあるように後戻りしやすいということです。後戻りの研究で世界的な権威であるR. M. リトル教授によると「現代の矯正治療は悪い歯並びを治す事は出来るが、保定(歯並びを治したのちに、戻らないよう装置を続けること。)をやめてしまうと、大なり小なり後戻りする。」と述べています。
01
従来の矯正法による後戻りの様子
オランダのジナド先生は従来の矯正法による抜歯矯正治療後の後戻りの様子を、不正咬合を評価する「PARスコア1) 」を用いて報告しました。それによると保定が終了するとその直後から後戻りが始まり、2年後には保定終了から約50%の後戻りがあり、5年後には90%以上の後戻りが生じて、その後も自然な歯並びの変化が続くと報告しています。
PARスコアによる治療前から保定後の不正状態の変化
ジナド先生による歯並びの保定終了後からの変化。
保定装置を使い終わると、歯並びがドンドン悪くなっているのが分かる。

1):PARスコアとは上下の歯並びを客観的に三次元的で評価する指数で、数字が大きいほど悪い歯並びを意味します。
02
伊藤矯正歯科医院での安定した症例
これに対し伊藤矯正歯科医院では、抜歯を伴う矯正を行ったのちに何も装置を使用しなくて何年か経過しても、かなり安定している症例をみることが多くありました。(「安定調査症例1~4」と当HPの症例集ページ「叢生第3,4症例」をご覧下さい。)そこで治療が終わって数年経過した時点で、資料採得のできた14症例について歯並びの変化を観察しました。
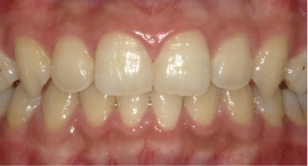
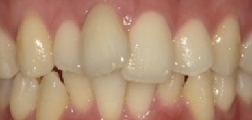
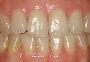
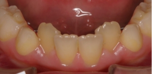
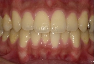
安定調査症例3

高さも不揃いでした。


歯ぐきも良くなった。


なったが変化は僅かだった。

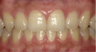
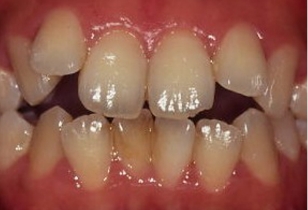
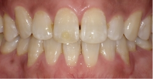
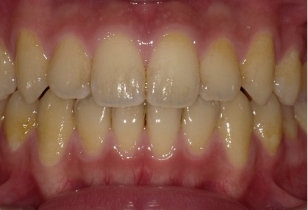
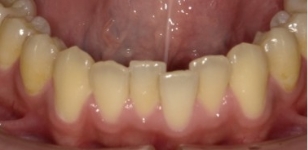
安定調査症例4

正中線がズレている


歯並びになりました。


自然な変化と同程度。

03
従来の矯正と当院の矯正の術後変化の比較
従来の矯正(ジナド先生の報告)と当院の矯正の調査法2)は少し異なるため、それぞれの保定終了時のスコアまたは指数を100%として、その後の変化を比較しました。

これによると当院の治療後の歯並びの変化は、従来の矯正に比べ変化が非常に少ない事が分ります。つまり当院の矯正治療は、従来の矯正治療に比べ大変に安定していることが分かります。
2):当院の矯正の調査法(世界的権威リトル教授の調査方法)
観察方法はPARスコアではなく、もう少しダイレクトな評価になるリトル教授らの方法を使いました。つまり右図のように、後戻りが一番現れやすいと言われている下の前歯において、歯と歯の接触点間の距離をmm単位でデジタル写真上で計測し、それらの合計のミリ数を「指数」とするものです。歯並びが綺麗であれば“0”に近い数字になり、数字が大きいと悪い歯並びを意味します。この写真の歯と歯の接触点間の距離の合計は9.3mmでしたから、指数は9.3になります。

このように当院の矯正治療の術後経過は、従来の矯正に比べ安定していることが分かります。
しかし当院の歯並びもよく観察すると、少しは指数が増加、つまり多少は歯並びが悪くなっていることが分かります。実はこれは自然な歯並びの変化と同じものである事がわかりました。つまり歯並びは下の写真が示すように矯正をしてない人でも、変化するのです。その自然な変化をリトル教授のお仲間のシンクレア先生が報告しており、そのデータを追加したのが下の図です(グラフのグレー)。これをみると元々綺麗な歯並びだったものも7年経過するとリトルの指数が35%も増加していることが分かります。
当院のリトルの指数の増加は5年で31.9%でしたが、今回の調査で、伊藤矯正歯科医院の治療後の変化は自然な変化と「統計的に差はない」という結果が出ました。

自然な歯の移動


以上の結果から、当院の治療結果の5年以内のものについては「自然な変化と差がない」と統計的に言えます。しかし個別のデータを見ると、傾向としては自然の変化量より僅かに大きい変化量もあるため、多少の後戻りはあるかもしれませんが、それにしても当院の後戻りは通常の矯正に比べると大変に少ないと言えます。
当院の矯正治療で後戻りの少ない第一の理由は、弱い力で矯正するため、歯の周りの組織が壊されることなく健康に維持され、特に歯を支える「骨(歯槽骨)の整形が良好に達成されるためと考えられます。他にも治療中もしっかり咬めることや、歯列形態を出来るだけ綺麗に整えるなど色々な要因が考えられますが、詳しくは「当院の治療」のページをご覧ください。
04
非抜歯矯正(永久歯を抜かずに矯正した場合の変化)
当院では小児期に治療を開始した場合を中心に、できるだけ永久歯を抜歯しないで治療しています。但しそのような場合の術後の様子は、抜歯をした場合とは少し異なるようです。つまり抜歯症例より安定していない感じが、臨床の印象としてはあります。
その原因は、下のグラフが示すように「歯列は中学生くらいで永久歯列になった後は、特に犬歯部で歯列が狭くなるという成長変化をする」ためです。その現象は下のグラフが示すように、幼少期から成人に至るまでの歯並びの調査により判明したことで、中学から高校にかけて身体的には大きくなるのに、歯並びは広がらないことが分かったばかりか、左右の犬歯間の距離は縮まることがその調査から分かりました。


グラフは町田幸雄著「交換機を上手に利用した咬合誘導(一世出版株式会社)」より引用
当院の患者さんで乳歯がまだたくさん残っている頃から矯正治療を開始し、永久歯を抜かずに治療のできた患者さんの術後の変化を調べたことがありますが、残念ながらどの症例も歯列は狭くなる傾向を示していました。ですから永久歯を抜かずに治療できた方も、歯並びは狭くなる変化をするので、前歯に多少のガタツキが出る事が見られます。
しかし狭くなりながらも叢生の出ない症例もありました(症例集「叢生第1症例」参照)。そのため抜歯症例の調査のように、他の矯正法に比べれば後戻りは少ないことが予想されます。






永久歯を抜かずに矯正できたが、自然な歯並びの変化(犬歯部で狭くなる)のために、下顎前歯にガタツキが発生した。