
当院の矯正治療によってきれいになった歯並びは、
他の矯正法に比べて治療後に大変に安定しているという
統計調査の結果が出ました。
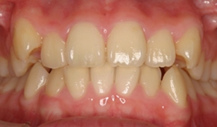
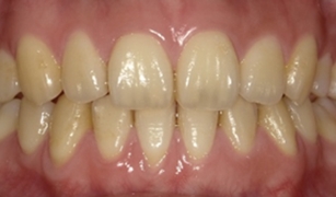
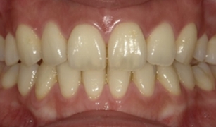
安定調査症例1







第1回目の動画は当院の紹介と、普通の矯正治療と当院の治療の「後戻りの違い」について解説しました。
「矯正治療ってどんなことをするの?」「子どもの歯並び、気になるけど何から始めたらいいの?」そんな疑問にわかりやすくお答えする動画を、矯正治療をもっと身近に感じていただけるよう順次配信しています。矯正専門医の視点で、やさしく丁寧にお話ししていきますので、ぜひチャンネル登録&ご視聴ください!

ABOUT US
伊藤矯正歯科医院は矯正歯科専門歯科医院として、「本当の矯正歯科治療とは何か?」を追求した、他では見られない、いくつかのこだわりの治療法を採用してきました。
その結果「目立たない」「痛みが非常に少ない」「安全性が高い」など多くの利点を達成してきました。
専門医院ならではの技術と症例を本ウェブサイトでご覧ください。


FEATURES
当院が目指す
矯正歯科治療の4大特徴
Every treatment by every dentist
矯正歯科治療はどこでやっても
同じではありません
-
矯正歯科治療を始める前に、おさえておきたいポイント
-
歯並びを治す矯正歯科治療は決して簡単ではありません。実際に治療したけど「咬めない」「並びきってない」などのトラブルは数多く発生しています。そのためどこで矯正歯科治療をするか決める際に、次の点を十分に吟味して頂きたいと存じます。
- どんな効果を期待してどんな装置を使うか?
- その効果に永続性はあるのか?後戻りはしないか?
- 矯正治療に伴う痛みはないか?
- 矯正装置により、むし歯を作ることはないか?
- 矯正治療により、歯ぐきが下がることはないか?
- 矯正治療により、歯根(歯の根っこ)が短くなることはないか?
- 矯正装置により、生活に支障をきたす事はないか?
- その矯正装置は決められた装着時間の間、無理なく装着できるものか?
- その矯正治療は歯並び全体を治せるものなのか?部分的なのか?
- その矯正治療はしっかりとした咬合(咬み合わせ)を作り上げられるか?
- 歯の大きさと歯並びの幅の関係を分析し、骨格的な問題がないか資料をそろえてキチンを説明しているか?
- その矯正治療は、科学的に立証されているか?
- 装置にトラブルがあった時、直ぐ対応できる態勢があるか?
- 治療開始前に、治療全体を見通して誠意をもって説明しているか?
当院の治療についてこれらの検討項目の多くのものが、このウェブサイト内で答えられています。またそれら以外につきましても確かに研究論文としてまとめられたものは多くはありませんが、多くの症例や治療データが日本矯正歯科学会や国際大会で発表されそして称賛を受け*、また厳しい目で吟味される矯正専門医の集まる研修会に於いて、時には1時間にわたる発表やディスカッションでもその結果を承認頂いていることが、良質な治療を提供できていることの証になると確信しております。そして何より1991年の開院以来30年以上にわたり非常に多くの患者様にご愛顧され続けてきましたことが最大の当院の評価を物語るものと信じております。
*院長がこれまで発表した書籍や学会発表の記録が「院長挨拶」に掲載されておりますのでご参照ください。
-


「集英社」は
少年ジャンプや
NON-NOなどで
お馴染みの出版社です。
これは特別企画
「頼れるクリニック大集合」
(2025年5月号)に当院は相応しいとして、
出版側により
岐阜県で唯一選ばれたものです。
当院を選んだ担当者の言葉
VOICE今までのマウスピース矯正やワイヤー矯正と
違った矯正である事に一番興味を持ちましたが、
貴医院HPの症例写真をみて綺麗すぎて驚いた
のを今でも覚えております。
今までのマウスピース矯正や
ワイヤー矯正と違った矯正である
事に一番興味を持ちましたが、
貴医院HPの症例写真をみて
綺麗すぎて驚いた
のを今でも覚えております。

伊藤矯正歯科医院は開業(1991年)以来、見えない、痛くない、
そしてとても健康的な矯正歯科治療にこだわってきました。
LEEに選ばれた当院のホームページをごゆっくりとご覧ください。
